Can You Eat With A Flipper Tooth
Camila Farah
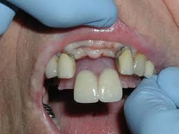
Can you eat with a flipper on.
A few things that can reduce irritation with a dental flipper include eating soft easy to chew foods removing the flipper at night regular cleaning using an adhesive or topical anesthetic. Be aware flippers are a quick inexpensive tooth replacement and only meant to be a temporary fix. Can you eat with a dental flipper. The prices range from 450 and 1 000 giving an average of 750.
Eating with flipper dentures can be a problem as they re much weaker than both natural teeth and other types of dentures. How much is a flipper tooth. I m thinking about getting a flipper retainer like thing with a fake tooth on it to fill up the gap for one of my front teeth. Talking to your dentist about your specific needs can help you understand the benefits and potential problems of using a dental flipper.
It is best to remove the flipper tooth when you eat. Remove the flipper denture if at all possible before eating. Flipper tooth cost is fairly high considering it is a temporary tooth restoration option. The number of teeth you need to replaced and.
RELATED ARTICLE :
- if cinderella s shoe fit perfectly why did it fall off funny answer
- i guess that s why they call it the blues elton john
- emotional intelligence why it can matter more than iq summary
Depending upon the expertise of the dentist as well as the quality of the lab technician the fit and comfort may vary but one generally can eat adequately with a flipper. They come in both hard acrylic with metal clasps and flexible ones with pink clasps. As far as a well done crown there shouldn t be any restriction on eating on it. However it s important to be careful while eating with a.
You should begin by chewing relatively soft food that is cut into small pieces. For this reason it can break easily especially if you are consuming crunchy or sticky foods. Take small bites and chew on both sides of your mouth at the same time. Not only are you able to eat when using a flipper tooth you ll probably be able to chew much better than you could without it.
I already had a retainer with a tooth on it but it broke. 24 years experience dentistry.
Source : pinterest.com


